椎骨植入物进一步证明3D打印在医疗技术中的地位

发布于2017年4月4日安吉洛外邦人
3d打印椎骨部分
3d打印的部分将取代病人患癌的椎骨。图片来源:Dailymail.co.uk和ABC News。

3D打印和其他快速制造方法继续改变着医疗技术行业,最近一位澳大利亚神经外科医生在2015年底切除了一名患者的癌椎骨,并在其位置植入了打印的椎骨。

悉尼威尔士亲王医院(Prince of Wales Hospital)的神经外科医生拉尔夫·莫博斯(Ralph Mobbs)称这一手术是“世界首例”。手术是在一个患有脊索瘤的病人身上进行的,脊索瘤是一种罕见的癌症,发生在头骨和脊柱的骨头上。作为《连线》杂志英国据报道,这位60岁的病人的两个负责转动头部的椎骨受到了影响,这意味着,如果15个小时的手术失败,他将会瘫痪。

然而,由于这些椎骨的位置和功能,它们很难被替换——它们必须精确匹配。Mobbs决定3D打印替代品,并与解剖学上的由澳大利亚医疗设备制造商设计和制造的植入物由钛制成。该公司还打印了患者头部的精确解剖模型,供Mobbs在手术前练习。

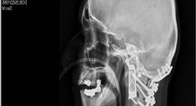
x射线的观点
x射线视图。照片:ABC.net.au

植入物是总部位于墨尔本的Anatomics公司的专长,该公司为澳大利亚和世界各地的外科医生生产患者特定的颅骨、面部、胸壁和其他骨骼和软组织植入物。

该公司是全球技术驱动的快速制造商如何为医生和外科医生提供体内和体外创新解决方案的典范。

除了植入物之外,制造商还通过一系列生产方法,为医疗行业创造了各种各样的生物医学产品和手术工具。案例:Protolabs最近为手持式医疗订书机注塑了整个塑料组件。为微创手术设计的订书机SubQ它!在病人皮肤下分配生物可吸收的固定物。这些固定物在愈合过程中固定住组织,然后被身体吸收。

《创新之眼》是我们从众包网站和互联网其他角落挖掘的新技术、产品和科学进步的月度展望。